Many people aren’t familiar with the term biological dentistry. New patients might be curious about how it’s different from regular dentistry and why it’s worth considering. Clear and simple communication helps them understand that biological dentistry isn’t just...
AMS
Comments Policy: This blog is intended as a resource for IABDM members, allied health professionals and others interested in our organization and/or biological dentistry and related fields. All comments are held and reviewed before posting. This is a moderated forum.
Heavy Metals & Biological Dentistry
For many years, heavy metals such as mercury, nickel, and chromium were commonly used in dental products. At first, people thought these metals were safe, but now scientists have found out that they can do more than just affect the mouth. These metals can also impact...
A New Era of Biological Dentistry Begins at the IABDM Annual Conference
The International Academy of Biological Dentistry and Medicine (IABDM) invites dental professionals to join an inspiring event focused on innovation and whole-body wellness. The upcoming IABDM Annual Conference, Biohacking in Dentistry, will take place March 26–28,...
How Hydroxyapatite Toothpaste Redefines Preventive Dental Care
Today’s biological dentist understands that true oral health goes beyond cavity prevention, it’s about protecting the whole body. That’s why more dental professionals are choosing hydroxyapatite toothpaste as a safe and effective alternative to fluoride. ...
Why Choosing a Biological Dentist May Help Protect Brain Health
A biological dentist understands that oral health and overall health are deeply connected. This approach goes beyond traditional dentistry by focusing on safe, biocompatible treatments that protect the whole body. Periodontal disease, or gum disease, is a...
Why Biological Dentistry Encourages Careful Evaluation of Root Canals
Biological dentistry continues to transform modern dental care by looking beyond teeth alone. At The International Academy of Biological Dentistry and Medicine (IABDM), we educate dental care professionals on how procedures like root canals can affect both oral and...
How Biological Dentists Support Sustainable Dental Care
At the International Academy of Biological Dentistry and Medicine, we recognize that sustainability is essential to modern dental practice. A biological dentist does more than treat oral health. They also consider the patient’s overall well-being and the impact of...
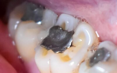
Why Biological Dentistry Offers Safer Solutions Than Mercury Fillings
Biological dentistry is transforming the way we think about oral health. Unlike traditional dentistry, which often relies on materials like mercury amalgam, biological dentistry focuses on safe, biocompatible treatments that protect the whole body. For decades,...
Platelet-Rich Fibrin and Its Role in Modern Biological Dentistry
Platelet-Rich Fibrin (PRF) is reshaping the way dental professionals approach healing and recovery. This natural material, drawn directly from a patient’s own blood, has become an important tool for the biological dentist who seeks to align treatment with the body’s...
Why Every Biological Dentist Should Use Phase Contrast Microscopy
A biological dentist is committed to looking beyond the basics of brushing and flossing to deliver care that protects both oral and whole-body health. One of the most powerful tools advancing this mission is phase contrast microscopy, a technology that is reshaping...
Biological Dentistry and Terrain Theory for Better Patient Health
Biological dentistry is about more than fixing teeth. It is about understanding the connection between oral health and the whole body. One way to deepen this understanding is through terrain theory, which gives insight into why some patients thrive while others...
How Biological Dentistry Links Vitamin D to Whole Body Health
Biological dentistry goes beyond traditional cleaning and cavity prevention. It looks at the deeper connection between oral health and overall wellness. One of the most powerful nutrients in this approach is Vitamin D. Vitamin D is critical for calcium...
How Biological Dentistry Protects Both Patient Oral Health and Long-Term Wellness
Biological dentistry is transforming modern dental care by making biocompatibility the highest priority. For dental care professionals, this means choosing materials that not only work effectively but also protect the patient’s overall health. Everyday dental...
How Nutrition Shapes Stronger Smiles in Biological Dentistry
Biological dentistry recognizes that true oral health depends on more than clean teeth. The International Academy of Biological Dentistry and Medicine highlights how nutrition is a critical factor in protecting the mouth and supporting overall wellness. What...
Protect Protocol Offers Complete Safety in Mercury Amalgam Removal
Biological dentistry is redefining dental care with safer, healthier practices for both patients and professionals. At the center of this progress is the International Academy of Biological Dentistry and Medicine (IABDM) and its Protect Protocol, a proven system for...
Ozone Therapy Provides Powerful Protection for Teeth and Gums
Ozone therapy is becoming one of the most important tools in biological dentistry. This safe, non-toxic treatment not only protects oral health but also supports whole-body wellness, making it a powerful option for dental care professionals. Ozone works by...
Why Biological Dentistry Recommends Avoiding Mercury Fillings
Biological dentistry is changing the way we think about oral health by focusing on treatments that protect the whole body, not just the teeth. One of the most important topics in this field is the removal and replacement of mercury amalgam fillings, which continue to...
The Essential Role of Dental Professionals in Treating Sleep Apnea
Sleep apnea affects millions of people and is linked to serious health issues, including cardiovascular disease, diabetes, and chronic fatigue. Many dental professionals encounter patients with undiagnosed sleep apnea, highlighting the vital role of biological...
How Biological Dentistry Leads the Way in Fighting Gum Disease
Biological dentistry is transforming the way dental professionals address gum disease and oral health. Periodontal disease is one of the most common hidden infections, beginning with gingivitis and progressing to periodontitis if not treated. Early signs such as...
Why Biological Dentistry Recommends Hydroxyapatite Toothpaste for Safer Oral Care
Biological dentistry is transforming the way dental care professionals think about toothpaste. For decades, fluoride has been the top recommendation, but its safety remains controversial. Hydroxyapatite toothpaste is now emerging as the preferred solution in...
The Truth About Root Canals and the Safer Path to Oral Health
Root canals are one of the most common dental treatments, but they are also one of the most debated. Many dentists warn that root canals may leave behind harmful bacteria, potentially triggering chronic infections and systemic health problems. When a tooth...
How Platelet Rich Fibrin Supports the Body’s Natural Healing Process
Platelet-Rich Fibrin (PRF) is becoming one of the most powerful tools in biological dentistry, helping patients heal faster, experience less discomfort, and achieve better long-term results. In biological dentistry, the goal is to use safe, biocompatible...
Discover the Rise of Biological Dentistry in Modern Practice
Dental care is changing. Today, more dental professionals are turning to holistic methods that support overall patient health. One of these approaches is biological dentistry, which views oral health as part of whole-body wellness. Biological dentistry began in...
How Phase Contrast Microscopy Is Changing the Way We Treat Gums
Nearly 90% of Americans experience some degree of gum disease. Despite regular brushing and flossing, many patients still deal with hidden periodontal infections. Biological dentistry offers a powerful solution with phase contrast microscopy. Phase contrast...
The Role of Vitamin D in Protecting Teeth From the Inside Out
Today, biological dentistry is shifting the way dental professionals approach oral care. This specialized practice understands that dental health extends far beyond brushing and flossing. Instead, biological dentistry views teeth as dynamic, living structures...
Why More Dental Professionals Are Turning to Ozone Therapy
Biological dentistry is an important field focused on the connection between oral health and the overall wellness of patients. One promising treatment within biological dentistry is ozone therapy, a practice growing in recognition for its effectiveness and...
How Biological Dentistry Protects Patients and the Planet
At the International Academy of Biological Dentistry and Medicine (IABDM), we understand the critical role sustainability plays in modern dental practices. Biological dentistry focuses on more than just oral health, it emphasizes overall patient wellness and...
What Every Dentist Should Know About Fluoride and Pregnancy
For decades, fluoride has been recommended to help prevent cavities, especially through community water supplies. However, recent research suggests we need to reconsider fluoride exposure, particularly for pregnant women and infants. At the International Academy of...
Why Biocompatibility Is the Future of Dental Care
Biological dentistry emphasizes the critical link between oral health and overall wellness, placing significant importance on biocompatibility. Simply put, biocompatibility refers to how well dental materials interact harmoniously with the body. Dental...
How Dental Care Professionals Can Make a Difference in Sleep Apnea Treatment
Sleep apnea is a common disorder where breathing repeatedly stops and starts during sleep, negatively affecting one’s overall health and well-being. Dental care professionals frequently encounter patients suffering from this condition, often without realizing its...
What Defines a Certified Biological Dentist in Today’s World
Biological dentistry is a specialized approach that focuses on the connection between oral health and overall wellbeing. Unlike traditional dentistry, biological dentistry views the mouth as a vital part of the entire body. This method allows dentists to diagnose and...
What Every Dental Professional Should Know About Mercury Toxicity
Biological dentistry is becoming increasingly important for dental care professionals who prioritize their patients' overall health. Unlike traditional methods, biological dentistry looks at how dental practices impact the entire body, aiming to minimize risks. ...
What Every Dentist Should Know About Root Canals and Infection
Root canals have long been a standard treatment in conventional dentistry. However, in biological dentistry, many professionals are rethinking the long-term safety of this procedure. Research and clinical experience suggest that root canals may leave behind harmful...
July Study Club: Why the Radiology Report Matters
Why the Radiology Report Matters: Elevating Diagnosis Through Expert Interpretation Speakers: Dr. James Rock & Dr. Ryan Holmes Course Description: This presentation highlights the value of oral and maxillofacial radiology (OMR) in everyday dental practice. We’ll...
Can Gum Infections Raise Your Risk of Memory Loss?
Your mouth contains around 700 different types of bacteria, creating a delicate ecosystem. While some bacteria are harmless, others can cause serious oral health issues like gum disease, also known as periodontal disease. Biological dentistry recognizes the strong...
Exploring the Link Between Fluoride and Whole-Body Health Risks
At the International Academy of Biological Dentistry and Medicine (IABDM), our mission is to support dental professionals in providing safe, science-based care. A core focus of biological dentistry is understanding how everyday exposures, like fluoride, can affect...
How the IABDM’s Protect Protocol Sets New Safety Standards in Oral Care
Biological dentistry has transformed dental care by prioritizing the safety of patients, dental professionals, and the environment. The International Academy of Biological Dentistry and Medicine (IABDM) has significantly contributed to these advancements, especially...
The Natural Healing Benefits of PRF in Biological Dentistry
Biological dentistry combines holistic health practices with traditional dental care. This approach emphasizes the body’s natural healing powers, helping improve dental procedure outcomes. A standout technique within biological dentistry is the use of platelet-rich...
How Biological Dentistry Aligns with Terrain Theory for Stronger Patient Health
Every dental care professional knows that not everyone responds to illness the same way. Have you noticed some patients frequently struggle with colds and flu, while others remain relatively unaffected? The answer may lie within the fascinating concept known as...
How Phase Contrast Microscopy Empowers Patients To Improve Gum Health
Nearly 90% of Americans are affected by some level of gum disease. As dental care professionals, we know that many patients present with periodontal infections, even when they believe their home care routines are sufficient. Routine brushing and flossing often do not...
Discover the Key Differences Between IAOMT and IABDM for Holistic Dental Practice
For dental care professionals interested in holistic and health-conscious practice, understanding the organizations that shape biological dentistry is essential. Two prominent groups in this field are the International Academy of Oral Medicine and Toxicology (IAOMT)...
Why More People Are Choosing Biological Dentistry
In today’s busy world, taking good care of your oral health is essential. At the International Academy of Biological Dentistry and Medicine (IABDM), we strongly support biological dentistry. But you might wonder, "What exactly is biological dentistry?" ...
Supporting Gum Health and Tooth Strength Through Vitamin D
In biological dentistry, dental care professionals look beyond traditional methods such as brushing and flossing. This comprehensive approach emphasizes the interconnectedness of oral health with overall body wellness. A significant part of this holistic view involves...
How Ozone Therapy Supports Safer and Smarter Oral Health
Biological dentistry emphasizes the connection between oral health and the overall well-being of patients. A significant development in this field is the rising popularity of ozone therapy. Ozone therapy isn't new, in fact, it has been used scientifically for...
May Study Club: Biomimetic Dentistry 2025: An Overview
Speaker: Dr. Saul Pressner Course Description: The history of biomimetic dentistry will be explored and the basic principles of biomimetic dentistry as well as case studies will be presented. Learning Objectives: 1. To learn the KOI’s of biomimetic dentistry from the...
How Biological Dentistry Supports Effective Sleep Apnea Management
Sleep apnea is a common sleep disorder that leads to repeated breathing interruptions at night. As dental care professionals, understanding sleep apnea and your role in recognizing and managing it is essential. Biological dentistry offers unique, patient-centered...
Understanding Root Canals Through the Lens of Biological Dentistry
Biological dentistry is much more than a new approach to dental care, it is a specialized practice grounded in the awareness that every system in the body is connected. The International Academy of Biological Dentistry and Medicine (IABDM) leads the way in promoting...
Protecting Patients from the Hidden Risks of Amalgam Fillings
Biological dentistry is a critical part of maintaining overall health by carefully considering how dental practices affect the entire body. At the International Academy of Biological Dentistry and Medicine, we emphasize methods that minimize potential health risks....
How Biological Dentistry Fights Gum Disease and Protects Your Health
Gum disease is a common oral health issue many patients face, yet its significance often goes unnoticed. Also known as periodontal disease, gum disease is essentially a hidden infection that affects the gums and teeth. It usually arises from poor oral hygiene,...
What Every Dental Professional Should Know About Fluoride Alternatives in Toothpaste
As dental care professionals, we often rely on fluoride toothpaste to protect our patients' teeth. Fluoride has long been the standard recommendation because it strengthens tooth enamel and helps prevent cavities. But what if there was an equally effective alternative...
Understanding the Science and Wisdom Behind Biological Dentistry
Dental care is evolving, with more professionals exploring holistic and integrative methods. One term gaining popularity is biological dentistry. But what exactly makes biological dentistry different? Biological dentistry first emerged in the mid-1980s thanks...
What Makes the IABDM Protect Protocol a Gold Standard in Patient Protection
Dental practices have greatly improved in recent years, making procedures safer for both patients and dental professionals. At the forefront of these advancements is the International Academy of Biological Dentistry and Medicine (IABDM). The academy has introduced the...
How Biological Dentistry Helps Protect Both Patients and the Planet
At the International Academy of Biological Dentistry and Medicine (IABDM), sustainability is a central focus. Biological dentistry goes beyond just treating oral health issues. It is a holistic approach that recognizes the connection between dental health, overall...
What Phase Contrast Microscopy Shows Us About Hidden Bacteria in the Mouth
Did you know that nearly 90% of Americans experience some form of gum disease? Many patients visiting dental offices have periodontal infections without even realizing it. Even with consistent brushing and flossing, dental problems can linger. To tackle this issue...
Understanding Health Risks of Fluoride Exposure During Pregnancy and Infancy
For more than 75 years, fluoride in community water has been promoted by health authorities as a tool for cavity prevention. However, recent studies suggest caution is needed when recommending fluoride exposure for pregnant women and infants. At the International...
How Biological Dentistry Helps Us to Understand Meridians and the Tooth-Body Connection
In biological dentistry, practitioners recognize a unique connection between teeth and different organs throughout the body. This connection is rooted in the ancient principles of acupuncture, which suggest that each tooth aligns with specific energy pathways, known...
Is Mercury in Your Mouth Putting Your Health at Risk
In our continuous pursuit towards healthy smiles, biological dentistry plays a pivotal role. This approach takes into account the impact of dental practices on the body's overall health, focusing on minimizing potential negativity. A crucial topic in this regard is...
What Biological Dentistry Teaches Us About Eating for Oral Health
In biological dentistry, the connection between diet and oral health is too important to overlook. That’s why the International Academy of Biological Dentistry and Medicine actively supports the role of proper nutrition in maintaining a healthy mouth. The food we...
Why Platelet-Rich Fibrin Is the Future of Dental Treatments and Overall Wellness
Biological dentistry places an emphasis on using natural remedies for dental care. As a philosophy destination that unites dental practice with human biology, it promotes sustainable dental practices aimed at overall wellness. A shining example of this approach is the...
How Biological Dentistry Is Changing the Way We Treat Gum Disease
If you have ever wondered about gum disease and what it entails, you are not alone. Gum disease, also known as periodontal disease, is a hidden infection within the mouth that affects your valuable teeth. It largely results from inadequate oral hygiene, leading to the...
What Biocompatibility Really Means for Your Oral Health and Long-Term Wellness
Biological dentistry prioritizes our oral and overall health by honing in on the concept of biocompatibility. This term rests on the belief that materials we use in dental procedures should not just perform their required duties, but should also exist in harmony with...
Why More and More People Are Making the Switch to Hydroxyapatite Toothpaste
When we speak of clean, healthy teeth, fluoride toothpaste has been a long-standing staple. Although its safety continues to be a topic of debate, fluoride remains at the top of dental prescriptions. However, biological dentistry recommends a healthier option with...
How Terrain Theory and Biological Dentistry Are Changing Healthcare
Have you wondered why some people always seem to be under the weather while others hardly ever get a sniffle? Or why some individuals recover quickly from illness while others take weeks? The terrain theory of health suggests some intriguing answers to these...
What You Need to Know About IAOMT and IABDM Dentists
Choosing the right holistic dental care is crucial. There are two prominent organizations – the International Academy of Oral Medicine and Toxicology (IAOMT) and the International Academy of Biological Dentistry and Medicine (IABDM). Despite the shared holistic...
How Biological Dentistry is Leading the Way in Eco Friendly Dental Care
The International Academy of Biological Dentistry and Medicine (IABDM) firmly advocates sustainable, eco-conscious dental practice. This arises from a belief at the heart of biological dentistry, reducing waste and preventing pollution are just as integral to the...
Understanding the Long-Term Effects of Root Canal Treatments
At the core of biological dentistry lies a profound awareness of the intricate linkage among our body's various systems. The International Academy of Biological Dentistry and Medicine (IABDM) extends this perspective to produce a holistic approach towards oral health....
How Vitamin D Strengthens Your Teeth and Gums
Gone are the days when dental health was solely associated with brushing and flossing. A new perspective is emerging in biological dentistry, inviting us to look beyond the usual oral hygiene regimens. An essential component of this fresh outlook concerns the...
Sleep Awareness Month Is the Perfect Time to Evaluate Your Sleep Health
March brings along an important observance dedicated to one of the most crucial aspects of our health: sleep. As we mark Sleep Awareness Month, the International Academy of Biological Dentistry and Medicine (IABDM) prompts everyone to understand sleep disorders and...
How Ozone Therapy Fights Bacteria and Supports Oral Health
Biological dentistry considers the connections between oral health and overall bodily health. It utilizes safe, non-toxic treatments to promote oral health and body wellness. One such treatment garnering attention in biological dentistry is the use of ozone. ...
How Your Diet Shapes Your Oral Health More Than You Think
At the International Academy of Biological Dentistry and Medicine, we acknowledge the integral role that nutrition plays in ensuring good oral health as a part of the biological dentistry approach. The foods we consume and the frequency can impact the health of your...
How Biological Dentistry Can Help Manage Sleep Apnea
March is Sleep Awareness Month, a perfect time to discuss a prevalent sleep disorder, Obstructive Sleep Apnea (OSA). This disorder, marked by an interruption in breathing during sleep, is not only disruptive to sleep quality, but also poses various health risks. ...
Understanding the Benefits and Risks of Fluoride in Toothpaste
Fluoride's role in toothpaste is a topic that elicits wide-ranging views. The International Academy of Biological Dentistry and Medicine seeks to shed light on this safety concern, keeping in mind recent research findings. A notable study was released in May...
Why Biocompatibility Matters for Your Oral and Overall Health
Biological dentistry values the role of biocompatibility in maintaining oral and overall health. Essentially, biocompatibility refers to the compatibility of dental materials with the human body. It's important that these materials not only do their job well but also...
Rethinking Oral Hygiene with a Safer Alternative to Fluoride
When it comes to oral hygiene, the incorporation of fluoride toothpaste has been a popular choice. Despite recurring debates based on its safety, fluoride continues to rule dental prescriptions. However, biological dentistry now suggests a healthier alternative with...
Why Sleep Apnea Patients Are Turning to Biological Dentistry
Sleep apnea is a prevalent sleep disorder characterized by repeated interruptions in breathing during sleep. These interruptions can significantly decrease sleep quality, leading to various health complications if undiagnosed or untreated. The condition mainly...
Join Us for the IABDM 40th Anniversary Event in Texas
The International Academy of Biological Dentistry & Medicine (IABDM) is excited to invite you to a special milestone event—the 40th Anniversary Event! Join us as we celebrate four decades of pioneering holistic and biologically driven approaches to dental care....
What Your Teeth Might Be Telling You About Your Overall Health
In biological dentistry, there is a fascinating concept regarding the relationship between teeth and different organs in the body. This concept draws on the principles of acupuncture, recognizing that each tooth lies on a meridian pathway significant to specific...
How Biological Dentistry Supports Whole-Body Wellness
In today's fast-paced world, keeping up with good oral health is essential. That's why here at The International Academy of Biological Dentistry and Medicine (IABDM), we passionately advocate for biological dentistry. Many may wonder, 'What exactly is biological...
Why PRF Is a Breakthrough in Biological Dentistry
In the realm of advanced dental healing practices, Platelet-Rich Fibrin (PRF) is redefining treatment standards in modern biological dentistry. PRF, a naturally occurring substance within your bloodstream, has gathered much attention in the dental world due to its...
Why Ozone Therapy Is Changing the Future of Biological Dentistry
In the growing field of biological dentistry, methods that use the power of natural elements to keep our teeth and gums healthy are ever-evolving. One major advancement is ozone therapy. It is known for its ability to kill bacteria, which helps stop dental cavities...
Exploring the Risks and Long-Term Effects of Root Canals with Biological Dentistry
At the heart of biological dentistry is a deep understanding of the interconnectedness of our body systems. At The International Academy of Biological Dentistry and Medicine (IABDM), our approach towards oral health extends to all aspects, including root canal...
What Are the Differences Between an IAOMT Dentist and IABDM Dentist?
When searching for holistic dental care, you might come across two significant organizations - the International Academy of Oral Medicine and Toxicology (IAOMT) and the International Academy of Biological Dentistry and Medicine (IABDM). Both promote overall...
The Role of Biological Dentistry in Treating Gum Disease
When searching for holistic dental care, you might come across two significant organizations - the International Academy of Oral Medicine and Toxicology (IAOMT) and the International Academy of Biological Dentistry and Medicine (IABDM). Both promote overall...
What It Means to Be a Certified Biological Dentist Today
Biological dentistry, at its core, aims to cohesively unify the relationship between your oral health and your overall health. Exclusively trained to delve deeper, biological dentists work to diagnose and treat dental conditions with a full-body health perspective....
What’s the Difference Between Biological Dentistry and Holistic Dentistry for Your Health
Understanding dental care can be hard because there are many different types. Two types that often confuse people are biological dentistry and holistic dentistry. Even though they both work in similar ways, there are important differences between them. ...
How Biological Dentistry Unveils the Best and Worst Foods for Your Teeth
Oral health is an essential component of our overall well-being, often overlooked when considering dietary choices. However, recent insights from the world of biological dentistry spotlight how some foods can be harmful for our teeth and gums, while others actively...
Why Reducing Water Fluoridation Sources Is Crucial for Public Health
At the International Academy of Biological Dentistry and Medicine, we're committed to promoting a thorough understanding of all facets of dental health, including the risks associated with water fluoridation. Exposure to fluoride occurs in several ways, such as...
Building a Healthier and Greener Planet Through Biological Dentistry
At the International Academy of Biological Dentistry and Medicine (IABDM), we stress the importance of sustainability in dental practice. Among our main concerns is reducing waste and preventing pollution. Biological dentistry is much more than treating oral...
How Biological Dentistry Protects You from Potentially Harmful Mercury Fillings
When it comes to ensuring a healthy smile, biological dentistry stands high in the health-conscious world. Biological dentistry considers the impact of dental practices on the entire body’s health and aims to reduce that. An essential part of this is to raise...
How Terrain Theory Promotes Healing from the Inside Out
We all get sick from time to time. But, have you ever wondered why some people seem to catch the flu often and get many colds, while others only have light sniffles now and then? Also, why do some of us get better quickly, while others struggle with tiredness and...
Gum Disease Linked to Alzheimer’s Risk in New Research
Your mouth is a complex ecosystem with about 700 different bacterial species, some of which contribute to gum disease, also known as periodontal disease. Biological dentistry utilizes a holistic approach to oral health, making the connection between oral health and...
How Phase Contrast Microscopy Helps Patients See and Treat Gum Disease
Nearly 90% of people in the US deal with some level of gum disease. So, when patients visit for dental hygiene check-ups, many are struggling with unnoticed periodontal infection. Despite proper brushing and flossing habits, dental issues persist. In search of a...
Ozone Therapy Explained for Better Oral and Overall Health
Biological dentistry is a component of health care that focuses on the harmony between the oral and overall health of a patient. A rising practice in this field is the application of an age-old medical treatment - ozone therapy. Ozone has been utilized...
How Biological Dentistry Enhances Dental Health and Recovery with Platelet Rich Fibrin
Biological dentistry places a high emphasis on the integration of holistic health practices with conventional dental procedures. A vital part of this discipline is harnessing the body's natural healing abilities to improve the outcomes of dental procedures. One unique...
Root Canals and the Hidden Health Risks You Need to Know
Root canals are common dental procedures but many people are unaware of the potential risks they carry. Biological Dentistry has observed that these treatments might be a source of chronic infection, leading to wider systemic health problems. Mostly, this issue...
What You Need to Know About FDA Recommendations on Dental Amalgam and Mercury Risks
In the world of biological dentistry, our goal is not only to ensure your oral health but also to protect your overall wellness. Nowadays, particular attention is given to materials used in dental procedures as some might carry potential risks. A major point of...
Landmark Legal Decision Calls for EPA Action on Fluoridation Health Risks
Biological dentistry has always emphasized the careful use of substances to minimize health risks. Recently, a significant fluoride ruling exemplified this approach, demanding critical action from the U.S. Environmental Protection Agency (EPA). Bringing an end...
Understanding the Foundations of Biological Dentistry
Despite the growing buzz around it, there's often confusion between terms such as "holistic dentistry," "integrative dentistry," and "biological dentistry." While they may be seen as interchangeable, they distinctly diverge. Biological dentistry is intrinsically...
Protect Protocol Advances SAFER Amalgam Filling Removal
As the dental field progresses, techniques for safeguarding patients and dental professionals have greatly advanced. Pioneering these advancements, the International Academy of Biological Dentistry and Medicine (IABDM) has ushered in several notable improvements,...

























































































